Циркониеви корони и цялостни възстановявания с циркон
Цирковиеви корони
Какви са предимствата на циркония?
Без оцветяване на венеца, предизвикано от окисляването на металния компонент при други видове коронки.
По-естетичен, тъй като циркониевият скелет може да бъде оцветен в 16 различни нюанса.
Отсъствие на хиперчувствителност – зъбите не реагират на големи температурни амплитуди при топло и студено.
Циркониевите коронки са щадящи за зъбите, защото изпиляването при тях е минимално и не се налага да се умъртвяват зъбите.
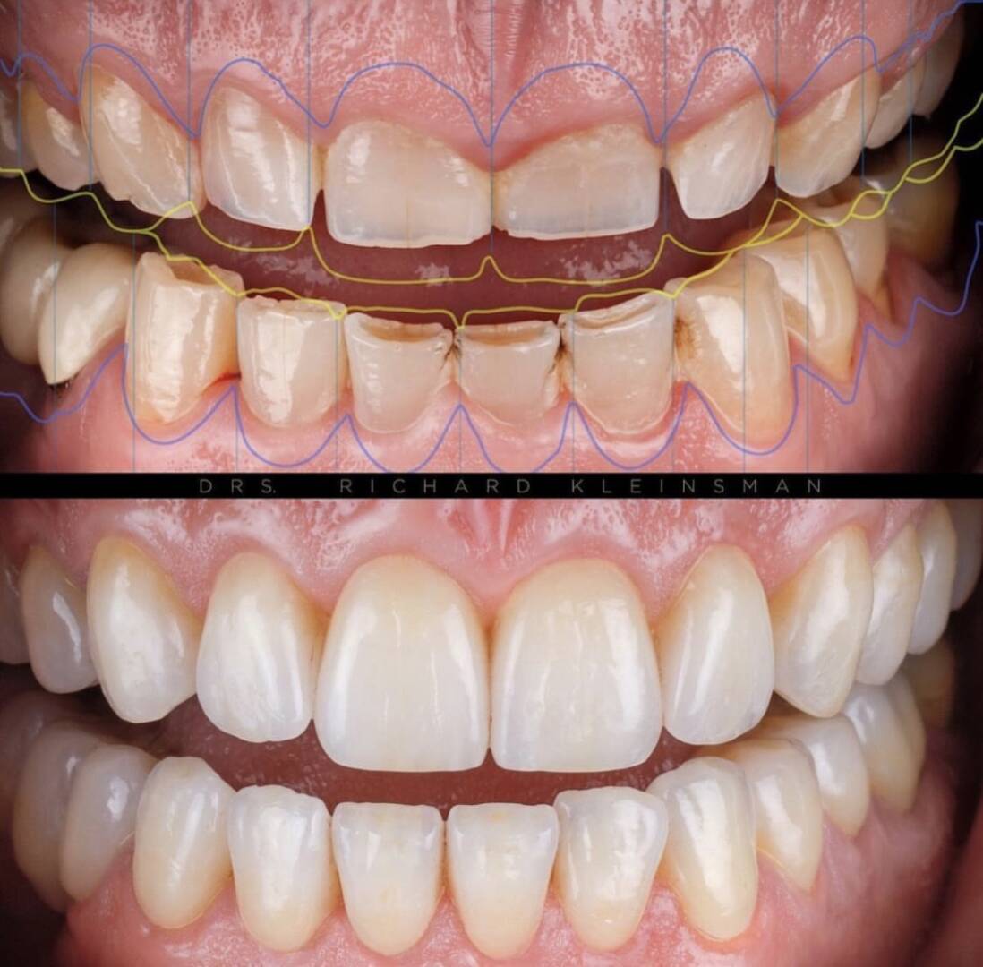
Циркониевите зъбни коронки набират все по-голяма популярност, поради естеството на материала, от който се изработват и технологията на неговата обработка. Те се изработват от циркониев диоксид (ZrO2), който се отличава с изключителна здравина, износоустойчивост и естетика. Цирконият не предизвиква алергични реакции, няма метални елементи и прави почти невъзможно задържането на бактериалната плака върху конструкцията. Това е най-търсената комбинация от качества на материал за зъбни коронки и мостове, които съвременната дентална медицина използва за постигане на най-близки до естествените зъби резултати.
За изработката на циркониевите коронки се използва CAD/CAM (Computer Aided Design/Computer Aided Manufacturing) компютърна технология, която позволява висока прецизност и точност.
Предимства на циркониевите коронки
Здравина
Керамикитe са известни с това, че са много крехки – щом в една керамична конструкция се появи дефект, той бързо се разпространява в цялата структура и води до счупване на обекта. Това е причината порцелановите съдове да са толкова чупливи. Добавката на Итрий към Циркония стабилизира неговата структура и му позволява да спре разпространението на дефекти в материала, Благодарение на това, материалът има голяма здравина – до 1200 мегапаскала. За сравнение, обикновената Прес-керамика, която се ползва при класическите керамични коронки има здравина от едва 350 мегапаскала. Казано на разбираем език, това означава, че циркониевите коронки са много устойчиви на счупване. Важно е да се спомене, че става въпрос за изкуствените коронки, а не за зъбите под тях.
Износоустойчивост
Циркониевите корони са много абразивоустойчиви, тоест не се износват при триене с насрещни корони. Това ги прави подходящи за хора с бруксизъм (скърцане със зъби по време на сън).
Щадят отсрещния зъб
Цирконият има изключително гладка и фина структура. Също така е и изключително твърд и запазва своята гладкост много по-дълго от други керамики. Комбинацията от издържливост и гладкост правят циркониевите конструкции много по-щадящи към антагонистите им (отсрещните зъби, срещу които конструкцията захапва), спрямо другите дентални керамики. Още един фактор който ги прави подходящ за пациенти страдащи от бруксизъм.
Отлична естетика
Циркониевтите коронки са трудно отличими от естествените зъби. Те не предизвикват метално оцветяване на венците поради липсата на метал. Няма опасност да се покаже метален ръб, когато има отдръпване на венеца.
Не предизвикват алергични реакции
Липсата на метал елиминира риска от провокиране на алергични реакции. Керамиката е изключително нереактивна и биосъвместима.
Устойчиви на развитието на бактериална плака
Циркониевите коронки са изключителни гладки, което не позволява да се задържа бактериална плака, предизвикваща възпаление на венците и оформяне на болезнени венечни джобове.
Устойчиви на петна
Цирконият е по-устойчив на оцветяване в сравнение с порцелановите, силикатните керамични и металокерамичните коронки.
Недостатъци на циркониевите коронки
Нямат прозрачност колкото естествен зъб
Естествените зъби имат известна прозрачност, която се дължи на структурата на емайла на зъбите. При естествен зъб светлината не се отразява от повърхността на зъба, а от по-дълбоките вътрешни слоеве. Това свойство се нарича транспaрентност и има голямо значение за естествената естетика на зъбите. Цирконият сам по себе си няма толкова висока прозрачност, но добавянето на други материали може да я повиши, а голямата палитра от бои и цветове, с които готовите коронки могат да бъдат обработени прави крайният резултат още по-неразличим от истински зъб.
Висока цена
Циркониевите коронки са с по-високи цени от другите матеирали на пазара, но оценявани в дългосрочна перспектива могат да се считат за много добра инвестиция, тъй като цирконият е много здрав материал и вероятно ще издържи много по-дълго без усложнения от колкото обикновена керамична коронка.
Предимствата на циркониевите коронки са доста повече от недостатъците, което ги прави предпочитани. Ако се интересувате от циркониеви коронки, обсъдете възможностите с специалистите в Dr.Stoilkova Orthodontics &Aesthetic


